主頁
開始試用
我的課程
媒體庫
3D
電子課程
工具
視頻
產品
商店
開始試用
搜索
幫助
登錄
電子郵箱/mozaWeb用户名
密碼
保持登錄狀態
登錄
或通過以下方式登錄
wechat
microsoftgraph
忘記密碼了嗎?
或者
創建新帳户
CNY
CNY
開始試用
主頁
我的課程
媒體庫
3D
電子課程
工具
視頻
產品
商店
搜索
幫助
登錄
電子郵箱/mozaWeb用户名
密碼
保持登錄狀態
登錄
或通過以下方式登錄
wechat
microsoftgraph
忘記密碼了嗎?
或者
創建新帳户
CNY
CNY
開始試用
圖像
全部類型
3D動畫
工具和遊戲
測驗問題
圖片詞典
3D 百科全書
電子課程
練習簿
視頻
圖像
音頻
總計: 4599 /
4599
全部
Biology
Geography
Physics
Chemistry
Mathematics
Technology
History
Music
視覺藝術
其它
年級 過濾器
所有年級
幼兒園
學前教育
低年級
高年級
初中
準備入學考試
高等教育
1年級
2年級
3年級
4年級
5年級
6年級
7年級
8年級
9年級
10年級
11年級
12年級
搜索
搜索
全部
Biology
Geography
Physics
Chemistry
Mathematics
Technology
History
Music
視覺藝術
其它
附加項
信息
勒內·笛卡爾,法國數學家和哲學家(1596n年至1650年)
當地菜單
信息
相交線
當地菜單
信息
平行線
當地菜單
信息
斜線
當地菜單
信息
異面直線
當地菜單
信息
兩個平面之間的交叉線
當地菜單
信息
線,面的相互位置
當地菜單
信息
半直線
當地菜單
信息
線段
當地菜單
信息
半空間
當地菜單
信息
半平面
當地菜單
信息
直角
當地菜單
信息
補角
當地菜單
信息
睡覺的正確與錯誤的姿勢
當地菜單
信息
等角
當地菜單
信息
直角
當地菜單
信息
兩點之間的距離
當地菜單
信息
點與線之間的距離
當地菜單
信息
平行線之間的距離
當地菜單
信息
兩條斜線之間的距離
當地菜單
信息
點和麪之間的距離
當地菜單
信息
兩個平面之間的距離
當地菜單
信息
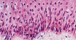
上皮
當地菜單
信息
等腰三角形
當地菜單
第一頁
-50
-30
-20
前一頁
50
51
52
53
54
下一頁
+20
+30
+50
最後一頁
-
我們的網站使用cookies以確保為您提供最好的在線服務。
詳細信息
確認
更多